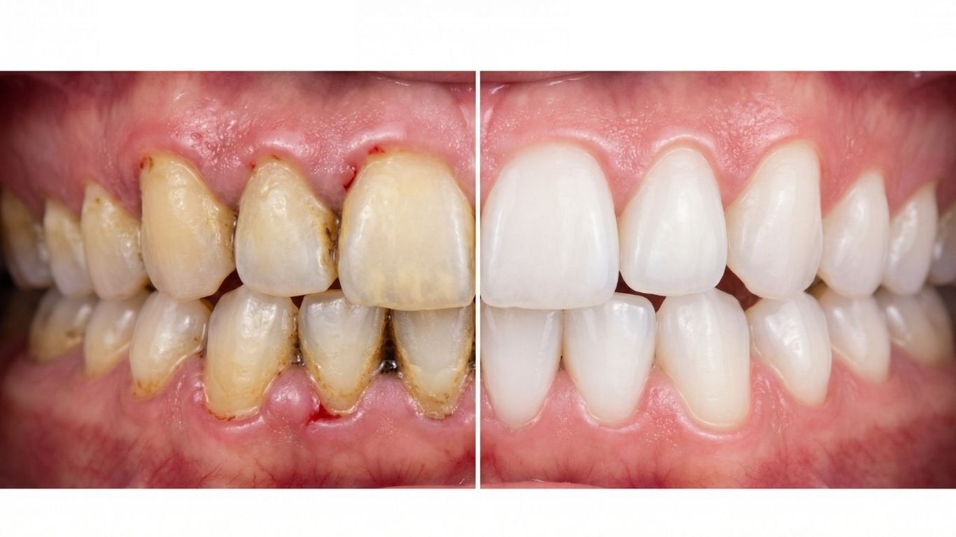
Sarro en los dientes: qué es, por qué aparece y cómo eliminarlo

Hay problemas de boca que molestan, pero se dejan pasar. El sarro en los dientes es uno de ellos. Al principio parece solo una mancha, una rugosidad o una suciedad pegada al diente. Mucha gente piensa que no es para tanto. O que con un cepillado fuerte, un remedio casero o una limpieza rápida en casa se irá. Y ahí empieza el error.

Cuando el sarro aparece, no hablamos solo de estética. Hablamos de bacterias, de inflamación de encías, de mal aliento, de sangrado al cepillarte y, si se deja avanzar, de problemas más serios como gingivitis o periodontitis. El problema no es solo verlo. El problema es todo lo que puede estar pasando alrededor sin que lo notes todavía.

En consulta lo vemos a menudo. Hay pacientes que llegan preocupados por el color amarillento junto a la encía. Otros vienen porque notan mal sabor de boca o porque les sangran las encías al cepillarse. Y muchos se sorprenden cuando descubren que no era solo “suciedad”, sino sarro dental acumulado desde hace tiempo.

En esta guía vamos a explicarte, de forma simple, qué es el sarro, por qué sale sarro en los dientes, qué tipos existen, qué diferencia hay entre placa dental y sarro, qué problemas puede acarrear y cómo eliminarlo de verdad. También te contaré cada cuánto conviene ir al dentista para evitar que vuelva, porque al final del artículo está una de las claves más importantes: no todo paciente necesita el mismo mantenimiento.

Qué es el sarro dental y por qué no es solo un problema estético

El sarro dental, también llamado cálculo dental o tártaro, es placa bacteriana que se ha endurecido por la acción de los minerales de la saliva. La placa es blanda y pegajosa. El sarro, en cambio, es duro, rugoso y queda adherido al diente. Una vez mineralizado, ya no se elimina bien con el cepillo de dientes.

Eso explica por qué el sarro es tan traicionero. No solo se queda pegado. Además, su superficie rugosa facilita que siga acumulándose más placa bacteriana encima. Es decir, crea el ambiente perfecto para que el problema continúe creciendo. Y cuanto más tiempo pasa, más fácil es que irrite la encía y más difícil es mantener esa zona limpia en casa.

Muchas personas lo relacionan solo con dientes amarillos o con una sonrisa menos limpia. Es normal. Es lo primero que se ve. Pero el verdadero problema está en lo que no se ve a simple vista. El sarro puede quedar por encima de la encía, que es lo visible, o por debajo, que es lo más delicado. Cuando se mete bajo la encía, ya no hablamos solo de una mancha o de una limpieza. Hablamos de inflamación, bolsas periodontales y riesgo de daño en los tejidos que sujetan el diente.

Dicho de forma muy clara: el sarro en los dientes no es solo feo. Es una señal de que la higiene no está llegando bien a ciertas zonas o de que hay factores que están favoreciendo su acumulación. Y si no se corrige, el coste suele ser mayor con el tiempo. Más inflamación, más tratamiento y más riesgo de perder soporte dental.

Diferencia entre placa dental y sarro

Esta es una de las dudas más importantes, porque mucha gente usa ambas palabras como si fueran lo mismo. La placa empieza a formarse pocas horas después del cepillado. Si no se elimina bien, puede endurecerse y convertirse en sarro. Esa es la diferencia clave. La placa es el inicio. El sarro en los dientes es la placa que ha ganado la partida.

sarro-en-los-dientes

Composición del sarro dental y cómo se forma

El sarro dental se forma cuando la placa bacteriana entra en contacto con minerales de la saliva, sobre todo compuestos de calcio y fósforo, y se endurece. Esa mineralización hace que pase de una película blanda a una estructura rígida adherida al diente.

No ocurre por casualidad. Suele empezar en zonas donde la limpieza falla más, como la parte interna de los incisivos inferiores o la cara externa de los molares superiores, cerca de la salida de las glándulas salivales. Por eso hay personas que notan sarro siempre en los mismos sitios. No significa necesariamente que no se cepillen. A veces significa que el cepillado no está siendo eficaz en esos puntos concretos.

Por qué sale sarro en los dientes

La causa de fondo es simple: la placa bacteriana se queda demasiado tiempo en el diente y acaba endureciéndose. Pero en la práctica hay varios factores que explican por qué a unas personas les sale más sarro que a otras.

Mala higiene y zonas donde el cepillo no llega bien

La razón más frecuente es una higiene insuficiente o una higiene que parece correcta, pero no lo es. Esto pasa mucho. Hay personas que se cepillan todos los días, incluso varias veces, pero no limpian bien la línea de la encía, no usan hilo dental o dejan sin cepillar zonas concretas. El sarro se aprovecha justo de eso.

También influye la técnica. Cepillarse con fuerza no significa cepillarse bien. A veces vemos bocas con bastante desgaste por cepillado agresivo y, al mismo tiempo, con sarro acumulado en áreas interdentales o junto a la encía. El problema no era falta de intención. Era falta de precisión.

Saliva, minerales y factores que favorecen su aparición

La composición de la saliva no es igual en todo el mundo. Hay personas con más tendencia a mineralizar la placa y formar cálculo con más rapidez. Esto no sustituye la higiene, pero sí explica por qué dos personas con hábitos parecidos pueden acumular sarro en los dientes a ritmos distintos.

La edad también influye. La predisposición a acumular placa y sarro suele aumentar con los años. Además, si hay apiñamiento dental, prótesis, implantes o zonas de difícil acceso, mantener la boca libre de placa resulta más complejo.

Tabaco, dieta y otros hábitos que empeoran el problema

El tabaco es uno de los grandes enemigos de las encías y empeora el pronóstico periodontal. También puede favorecer más acumulación y, lo más peligroso, enmascarar signos como el sangrado, haciendo que el problema avance con menos señales visibles.

Una dieta rica en azúcares y pobre en hábitos de higiene consistentes también facilita la acumulación de placa. No es que un alimento “fabrique sarro” de forma directa. Lo que hace es favorecer el entorno en el que la placa se acumula y madura más fácilmente.

Pide tu cita con Garnier

Tipos de sarro dental

No todo el sarro es igual. Esta diferencia importa mucho porque cambia el nivel de riesgo y también el tratamiento.

Sarro supragingival

Es el sarro que está por encima de la encía. Suele verse como un depósito amarillento, marrón o blanquecino adherido al diente. Es el que la mayoría de personas identifica a simple vista. Aunque es el menos profundo, no conviene restarle importancia. Sigue siendo un depósito bacteriano endurecido y puede inflamar las encías y empeorar el mal aliento.

Sarro subgingival o sarro en las encías

Es el sarro que se forma por debajo de la línea de la encía, adherido a la raíz del diente. No siempre se ve. Y precisamente por eso es el más peligroso. Puede estar relacionado con gingivitis avanzada, periodontitis, bolsas periodontales, pérdida de hueso y movilidad dental. Suele requerir una valoración más detallada, sondaje periodontal y, según el caso, radiografías.

Cuando un paciente pregunta qué es peor, mi respuesta suele ser la misma: el sarro visible molesta, pero el sarro que no se ve es el que más nos preocupa.

Qué problemas puede causar el sarro dental

El sarro dental no siempre duele. Y eso hace que muchas personas lo pospongan. Pero una boca puede empeorar bastante antes de empezar a doler.

Gingivitis, periodontitis y sangrado de encías

La placa y el sarro irritan la encía. El primer paso suele ser la gingivitis, que aparece con enrojecimiento, sangrado y cierta inflamación. Si no se trata y la acumulación sigue avanzando, el problema puede llegar a los tejidos de soporte del diente y convertirse en periodontitis. Ahí ya puede haber pérdida de hueso, retracción de encías y aflojamiento dental.

Caries, mal aliento y sensibilidad dental

El sarro dificulta la higiene diaria y facilita que se acumule más placa bacteriana. Eso puede aumentar el riesgo de caries y contribuir al mal aliento persistente. Además, cuando la encía se inflama o se retrae, algunas personas notan más sensibilidad al frío o al cepillado.

Sí, el sarro dental produce mal aliento con frecuencia. No porque “huela el sarro” como tal, sino porque ahí se alojan bacterias y restos que alteran el equilibrio de la boca. Cuando eliminamos ese depósito y corregimos la inflamación, muchas veces el paciente nota la boca más limpia y el aliento mejora.

Qué otras patologías o complicaciones puede arrastrar

La salud bucal y la salud general están conectadas. Las enfermedades periodontales se han relacionado con otros problemas sistémicos y, aunque no conviene exagerar ni prometer relaciones simples, sí sabemos que una boca inflamada de forma crónica no juega a favor de la salud global. La OMS recuerda que las enfermedades orales, entre ellas las periodontales, están entre las afecciones no transmisibles más frecuentes del mundo.

Por eso, cuando alguien me dice “solo es un poco de sarro”, suelo pensar justo lo contrario. Quizá solo sea sarro. O quizá sea el primer aviso de que la encía ya no está sana.

Cómo eliminar el sarro de los dientes

Aquí conviene ser muy honesto.

Lo que sí puedes hacer en casa

En casa puedes hacer mucho para frenar la placa y evitar que el sarro siga apareciendo. Puedes cepillarte bien dos veces al día con pasta fluorada, limpiar entre los dientes con hilo o cepillos interdentales, limpiar la lengua y mantener revisiones periódicas. Todo eso sirve. Y sirve mucho.

Lo que también puedes hacer es detectar señales de alerta. Si ves depósitos amarillos pegados al diente, notas mal aliento que no mejora, te sangran las encías o sientes zonas rugosas cerca de la encía, toca revisión. Cuanto antes se valore, más fácil suele ser resolverlo.

Lo que no conviene intentar por tu cuenta

Lo que no recomiendo es intentar arrancarlo en casa con instrumentos, curetas compradas por internet, ganchos o remedios abrasivos. Esto no solo no resuelve bien el problema. También puede dañar el esmalte, irritar la encía o empujar la inflamación a peor.

Tampoco conviene alimentar la falsa promesa de “qué fácil es eliminar el sarro dental en casa” como si fuera un problema que se resuelve con fuerza de cepillo. La placa, sí. El sarro ya mineralizado, no de forma segura ni eficaz.

Limpieza profesional, ultrasonidos y raspado radicular

El tratamiento depende de dónde esté el sarro y de cómo estén tus encías.

Si el sarro es supragingival y no hay enfermedad periodontal avanzada, muchas veces basta con una limpieza profesional o profilaxis. Se usan instrumentos específicos, con frecuencia ultrasonidos y pulido posterior, para desprender y retirar esos depósitos adheridos.

Si el sarro está por debajo de la encía o hay bolsas periodontales, puede hacer falta un raspado y alisado radicular. Esto ya no es una simple limpieza. Es un tratamiento periodontal más profundo para eliminar el cálculo adherido a la raíz y reducir la inflamación. En algunos casos avanzados, puede requerirse una intervención periodontal adicional.

sarro-dental

Cada cuánto conviene ir al dentista para eliminarlo

No hay una única cifra que valga para todo el mundo.

En personas con encías sanas y bajo riesgo, una revisión periódica y una limpieza profesional con la frecuencia que indique el dentista suele ser suficiente. El Consejo General de Dentistas recuerda la importancia de acudir al menos una vez al año y siempre que haya molestias.

Ahora bien, si ya ha habido gingivitis, periodontitis, sangrado frecuente, tabaco, diabetes, implantes o mucha tendencia a formar sarro, el mantenimiento suele ser más estrecho. En periodoncia, muchas veces se programan visitas cada 4 a 6 meses, porque el objetivo no es solo “limpiar”, sino controlar la recolonización bacteriana y prevenir recaídas.

Esta diferencia es importante. No todo lo que el paciente llama “limpieza” es lo mismo. Una cosa es una profilaxis en una boca sana. Otra muy distinta es un mantenimiento periodontal en una boca que ya ha tenido enfermedad de encías. Mezclar ambas ideas lleva a confusión, a tratamientos mal entendidos y a falsas expectativas.

Cómo prevenir la placa dental y el sarro

La prevención no tiene glamour, pero funciona.

Rutina diaria que de verdad funciona

Lo básico sigue siendo lo más eficaz:

  • Cepillado dos veces al día con técnica correcta.
  • Limpieza interdental diaria.
  • Limpieza de la lengua.
  • Revisiones periódicas.
  • Menos tabaco.
  • Más constancia.

No hace falta una rutina imposible. Hace falta una rutina bien hecha. El control mecánico de la placa sigue siendo la base de la prevención periodontal. (fuente)

Errores comunes que hacen que el sarro vuelva

Los errores más habituales son muy humanos. Cepillarse deprisa. No limpiar entre dientes. Pensar que si no hay dolor no pasa nada. Ir dejando la revisión. Cambiar la visita por remedios caseros. O creer que un colutorio compensa una mala técnica de higiene.

En consulta solemos insistir mucho en esto: no gana quien se cepilla con más rabia. Gana quien se limpia mejor y mantiene revisiones cuando toca.

Cuándo pedir cita si notas dientes con sarro

Pide revisión si te pasa alguna de estas cosas:

  • Ves depósitos pegados al diente, sobre todo junto a la encía.
  • Te sangran las encías al cepillarte.
  • Notas mal aliento persistente.
  • Sientes la superficie del diente rugosa.
  • Te da vergüenza sonreír por el color o el aspecto.
  • Notas inflamación, retracción de encías o sensibilidad.

En Garnier trabajamos desde una idea muy simple: antes de hablar de tratamientos, hay que darte claridad, calma y una valoración honesta. La clínica fue fundada en 1983 y su mensaje principal gira alrededor del trato humano, la transparencia y la sensación de que aquí no eres un número. Esa forma de comunicar encaja muy bien con un tema como el sarro, donde el paciente suele llegar con dudas, vergüenza o desconfianza.

FAQs

¿El sarro dental produce mal aliento?

Sí, puede contribuir al mal aliento porque favorece la acumulación de bacterias y dificulta la limpieza correcta de la boca. Cuando además hay inflamación de encías, el problema suele notarse más.

¿Se puede quitar el sarro en casa?

La placa bacteriana sí puede controlarse en casa con buena higiene. El sarro ya endurecido no suele eliminarse de forma segura ni eficaz con cepillado normal, y lo recomendable es retirarlo con tratamiento profesional.

¿El sarro y la placa dental son lo mismo?

No. La placa es una película blanda y pegajosa de bacterias. El sarro es esa placa ya endurecida por minerales de la saliva.

¿Por qué me sale tanto sarro aunque me cepille?

Puede deberse a una técnica de cepillado mejorable, falta de limpieza interdental, apiñamiento dental, composición de la saliva, tabaco o antecedentes periodontales. A veces el problema no es no cepillarse, sino no llegar bien a ciertas zonas.

¿Cada cuánto conviene ir al dentista para eliminarlo?

Depende del riesgo de cada paciente. En algunos casos basta con revisiones periódicas y limpiezas según criterio profesional. En pacientes con antecedentes de enfermedad periodontal o alta tendencia a acumular sarro, el mantenimiento puede ser cada 4 a 6 meses.

El sarro en los dientes no aparece de un día para otro, y tampoco conviene tomárselo como una simple mancha. Es la señal visible de que la placa bacteriana ha estado ahí el tiempo suficiente para endurecerse y empezar a complicar la salud de tus encías.

La buena noticia es que tiene solución. Y cuanto antes se valore, más sencillo suele ser el abordaje. Si el problema se detecta pronto, muchas veces basta con tratamiento conservador, higiene bien guiada y mantenimiento. Si se deja avanzar, el problema ya no es solo quitar sarro dental. El problema pasa a ser recuperar la salud periodontal.

Nuestro consejo desde clínica Garnier es simple: no intentes ganarle al sarro a base de remedios caseros o de esperar a que moleste más. Lo inteligente es saber qué puedes prevenir en casa y qué conviene tratar en clínica.